Oči kao prozori u zdravlje
Oči su 'ogledalo duše', ali i dijagnostički 'prozor' u neke od bolesti s popisa vodećih uzroka smrti: uz pomoć tehnologije i AI, pogled u zjenicu može učinkovito zamijeniti niz skupih i složenih pretraga
Zvuči li vam kao znanstvena fantastika scena u kojoj liječnik opće prakse u ambulanti nekog anonimnog prašnjavog gradića negdje u subsaharskoj Africi svojem pacijentu za par minuta postavlja sumnju na dijagnozu tumora mozga – a sve to bez višemjesečnog čekanja na skupo i nedostupno magnetsko rezonancijsko snimanje ili invazivni kirurški zahvat, nego nakon par jednostavnih i neagresivnih, no pouzdanih ambulantnih pretraga?
Pretorija, Australija, Jadrolinija…
Možda će još neko vrijeme i biti sci-fi, ali znanstvenici u istraživačkim centrima Južnoafričke Republike i Australije ozbiljno rade na tome da naše oči iskoriste kao pristupačne, precizne i bezbolne dijagnostičke „prozore u zdravlje“, kako bi se jednostavnim ali informativnim dijagnostičkim metodama analize oka moglo brzo i pouzdano steći uvid u zdravstveno stanje različitih (s očima naizgled nepovezanih) organa i tjelesnih sustava - primjerice mozga i krvnih žila, kao i ocijeniti rizik od nastanka ozbiljnih posljedica kardiovaskularnih bolesti.
Na Sveučilištu u Pretoriji nalazi se prvi afrički Centar za tumore mozga i translacijsku neuroznanost (BTC@UP), u kojem timovi znanstvenika i neurokirurga testiraju metode kojima bi se preko oka mogli dijagnosticirati ozbiljni poremećaji u mozgu, uključujući i krvarenja i moždane tumore. S druge pak strane Indijskog oceana, u Australiji, istraživači iz Centra za istraživanje oka razvijaju sustave temeljene na umjetnoj inteligenciji koji bi mogli procjenom stanja krvnih žila mrežnice na očnoj pozadini procijeniti u kojoj mjeri imate ili nemate povišeni rizik za srčani ili moždani udar.

Ili prevedeno na 'domaći' jezik: u nekoj udaljenoj jadranskoj otočkoj ambulanti bez laboratorija i magnetske rezonancije, liječnik koristi prijenosne uređaje kojima vam skenira zjenicu i za manje od minute može raspolagati informacijom postoji li u vas ozbiljna sumnja na patološke moždane procese ili krvožilne bolesti radi kojih bi vas trebalo hitno slati na daljnju obradu i liječenje. Potom još samo treba pronaći brz i pouzdan prijevoz do kopna… no o tome možemo u nekom drugom prilikom, jel'te...
Zašto baš oko?
Ako kao liječnik znate što i kako gledate, u očima možete vidjeti daleko više nego što se laički pretpostavlja. Povezanost oka i mozga nije samo poetska, već je razvojno-embriološka, anatomska, neurofunkcionalna i uzajamno zavisna – i sve to na nekoliko razina. Oči nisu samo „kamere za snimanje“ koje putem očnih živaca šalju sliku u moždani centar za vid, već su razvojno i anatomski doslovna „izbočina mozga“ u koju iz našeg centralnog živčanog sustava ulaze i izlaze važne živčane i krvne strukture.
Zbog takve izravne povezanosti, na oči se prenosi jako puno zbivanja koja se događaju intrakranijalno (unutar lubanje, u mozgu). Primjerice, intrakranijalni tlak ima neposredan utjecaj na tlak u očima, na stanje vidnog živca, na zjenične reflekse i na očnu pozadinu – ponajviše na krvne žile tanki sloj krvnih kapilara nazvan žilnica koji „hrane“ naše štapiće i čunjiće što se nalaze odmah do žilnice u sloji nazvanom mrežnica, lat. – retina (vjerojatno se sjećate - osjetilne stanice u mrežnici pomoću kojih „lovimo fotone“ i vidimo svijet oko sebe nazivamo štapići i čunjići).

Mozak je „zapakiran“ u dobro zaštićen prostor: sa svih strana ga okružuju čvrste kosti lubanje koje formiraju posve zatvoren oklop u kojem se nalaze samo tri otvora: na donjoj strani (gdje se mozak nastavlja u produženu i leđnu moždinu), te sprijeda (gdje se u kostima očnih duplji nalaze dva otvora kroz koje prolaze „kablovi“ kojima su oči spojene s mozgom: očni živci i pripadajuće krvne žile). Kada je tlak u lubanji povišen – primjerice zbog tumora ili krvarenja koji pritišću okolna tkiva – to se može odraziti na očne strukture. Slično vrijedi i za sustavne bolesti: hipertenzija, ateroskleroza i dijabetes ostavljaju tragove u krvnim žilama cijelog tijela, a time i u žilama mrežnice, tragove koje je moguće izravno vidjeti pogledom kroz prednji otvor oka, zjenicu. Mrežnica je stoga jedino mjesto gdje se naše krvne žile (i njihovo zdravstveno stanje) mogu vizualizirati neposrednim uvidom, pogledom „golim okom“ liječnika - u oko pacijenta.
I ne samo okom liječnika…
Zbog navedenih anatomskih i funkcionalnih veza oka, mozga i krvožilnog sustava u novije se vrijeme sve više razvijaju dvije komplementarne grane oftalmološke dijagnostike: jedna koristi ultrazvuk, infracrvenu pupilometriju i optičku koherentnu tomografiju (OCT) za procjenu zdravstvenog stanja mozga, a druga koristi snimke očne pozadine (retine) učinjene pomoću retinalne kamere, te algoritme strojnog učenja koji iz tih snimki procjenjuju stupanj rizika od kardiovaskularnih bolesti.
Sve kvalitetniji softver za prepoznavanje objekata (object recognition), pomno istreniran na serijama snimaka i dijagnostičkih nalaza i pojačan deep-learning umjetnom inteligencijom u očitavanju takvih nalaza danas postiže izvrsne rezultate koji su posve usporedivi – ako sada već ne i bolji – od dijagnostičke uspješnosti samih liječnika. Korištenje računalnih aplikacija u procjenjivanju slikovnih pretraga i nalaza je globalno u kontinuiranom porastu – kako po količini očitanih nalaza tako i po njihovoj dijagnostičkoj uspješnosti.

Što znači „dijagnostička uspješnost“? Razliku između dobre i loše dijagnostike ne čini samo neka kemija u epruveti ili pikseli na ekranu: kvalitetne dijagnostičke pretrage (i njihovo očitavanje) moraju zadovoljiti nekoliko ključnih kriterija:
- osjetljivost (senzitivnost), kriterij koji govori koliko je test dobar u „hvatanju bolesnih“; dakle test koji ima visoku osjetljivost rijetko „promaši“ osobu koja ima bolest (kažemo da test ima nisku stopu lažno negativnih nalaza).
- specifičnost (selektivnost), koja pokazuje koliko je test dobar u „isključivanju zdravih“ – dakle, visoka specifičnost znači da test rijetko pokaže da netko ima bolest ako je zapravo nema (ima nisku stopu lažno pozitivnih).
- reproducibilnost (pouzdanost) je jednostavan kriterij: ako test daje svaki puta isti rezultat kod iste osobe, znači da je pouzdan; u suprotnom, ukoliko isti uzorak na testu ne pokazuje isti rezultat – znači da je nepouzdan. Kratko i jasno.
- prediktivna vrijednost testa može biti pozitivna (tj. ukazivati kolika je vjerojatnost da pozitivan test stvarno dokazuje bolest) ili negativna (kolika je šansa da je netko zaista zdrav ako je test negativan).
Sve veći broj kliničkih studija dokazuje kako umjetna inteligencija doslovce iz dana u dan pokazuje sve bolju senzitivnost, selektivnost, pouzdanost i prediktivnost u očitavanju dijagnostičkih pretraga.
Krpanje rupa u zdravstvenim sustavima
A uopće nije teško zaključiti zašto je taj trend „robotizacije medicine“ sve jače prisutan: Svjetska zdravstvena organizacija (WHO) preporučuje minimalno 45 zdravstvenih radnika (liječnika, medicinskih sestara i primalja) na 10.000 stanovnika kako bi se osigurala temeljna zdravstvena skrb, pri čemu za same liječnike ne postoji službena univerzalna brojka, no u analizama WHO-a i Svjetske banke se kao minimalna referentna vrijednost navodi najmanje 10 liječnika opće prakse (primarne zaštite) na 10.000 stanovnika.
Dok u Africi na 10.000 stanovnika dolazi u prosjeku manje od 2 liječnika (svih specijalnosti), u Europskoj uniji prosjek je oko 38 liječnika na 10.000 stanovnika, a Hrvatska na prvi pogled i ne stoji tako loše s oko 33 liječnika svih specijalnosti na 10.000 stanovnika. No, ako gledamo hrvatski prosjek za liječnike „prvog kontakta“, dakle liječnike primarne zaštite, on iznosi oko 7–8 liječnika na 10.000 stanovnika, a povrh toga je distribucija izrazito neravnomjerna – gradovi poput Zagreba, Splita ili Rijeke imaju višestruko bolju pokrivenost u odnosu na ruralne krajeve poput Dalmatinske zagore, Like, Banovine ili dijelova Slavonije.
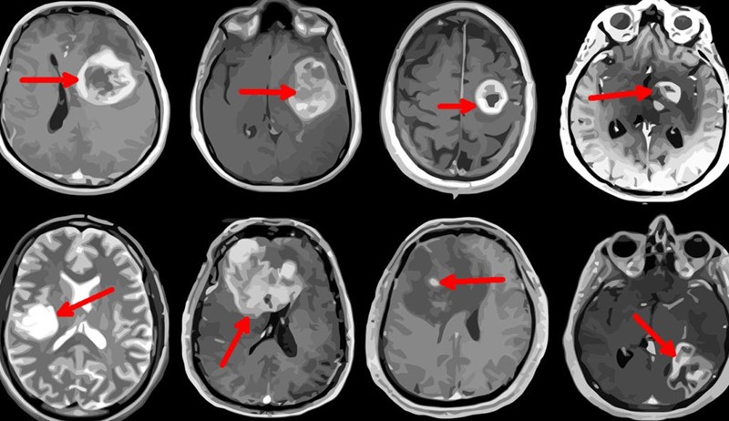
A ako mislite da u Africi nedostaje liječnika, pričekajte dok ne čujete statistiku o afričkim neurokirurzima: prosjek je jedan na četiri milijuna stanovnika (u Hrvatskoj je oko 1,5 na 100.000 stanovnika), dok Svjetska zdravstvena organizacija preporučuje omjer 1 na 200.000. Kada se zna da tumori mozga – i benigni i maligni – pogađaju na stotine ljudi (u Hrvatskoj se godišnje dijagnosticira oko 500 novih slučajeva tumora mozga), jasno je da većina oboljelih u zaostalim krajevima i regijama nikada ne dođe do dijagnoze, a kamoli operacije.
Zjenica i mrežnica – detektori rizika: južnoafrička verzija
Čemu ovo nabrajanje statističkih podataka, pitate se? Navodimo ih jer „rupu“ koja zjapi zbog raskoraka između broja novonastalih moždanih i krvožilnih bolesti i broja liječnika koji su na raspolaganju da se uhvate u koštac s dijagnostikom, liječenjem i praćenjem ti pacijenata, izvrsno popunjava koncept „gledanja u mozak i srce kroz zjenicu oka“ potpomognut računalnom umjetnom inteligencijom, dakle praktična primjena ideje o tome kako zamijeniti skupe, teško dostupne metode i nedostajući medicinski kadar neinvazivnim i jeftinim dijagnostikama koje ne zahtijevaju specijaliste, nego se mogu jednostavno i učinkovito koristiti i u udaljenim ambulantama.

Znanstvenici u Pretoriji fokusirani su na moždane tumore i neurološke poremećaje. Triptih dijagnostičkih tehnika koje preporučuju su OUS + IRP + OCT, odnosno:
- ultrazvuk očne pozadine (ophthalmic ultrasound, OUS) - pretraga koja koristi ultrazvučne valove za prikaz unutrašnjosti oka, uključujući očni živac i krvne žile, a može pomoći u otkrivanju znakova povišenog tlaka unutar lubanje, jer se to može vidjeti kao oticanje (edem) očnog živca. Obavlja se prijenosnim uređajem s malenom sondom, a uz osnovnu edukaciju je lako osposobiti liječnike za obavljanje take pretrage.
- infracrvena pupilometrija (infrared pupilometry, IRP) se obavlja infracrvenom kamerom koja mjeri kako se zjenice (pupile) šire i sužavaju reagirajući na svjetlo, a promjene u tim reakcijama mogu upućivati na poremećaje u funkciji mozga, posebno u situacijama poput ozljede glave ili neuroloških bolesti. Vrlo je jednostavna, brza, objektivna i laka za uporabu, a potrebna obuka je minimalna jer većina uređaja je automatizirana, pa sâma bilježi i tumači podatke.
- optička koherentna tomografija (OCT) je poput "ultrazvuka sa svjetlom": koristi svjetlosne valove za stvaranje vrlo detaljnih slika slojeva mrežnice. Pomaže u otkrivanju promjena na vidnom živcu i mrežnici koje mogu biti povezane s bolestima mozga, poput tumora multiple ili skleroze. Trenutno su najveći nedostatci skupoća, složenost i osjetljivost OCT-uređaja, pa se kao „prva rezerva“ na terenu može koristiti alternativna metoda uvida u očnu pozadinu – fundus-kamera, koja snima digitalnu fotografiju očne pozadine, a postoji i u prijenosnim niskobudžetnim verzijama koje se montiraju na smartphone i moguće je očitavanje snimaka potpomognuto AI-algoritmima, čime se povećava pouzdanost pretrage.
Zjenica i mrežnica – detektori rizika: australska verzija
Australski tim iz Melbournea testira kako se skeniranje mrežnice može koristiti u općoj praksi. Primjerice, njihova studija provedena na više od 360 pacijenata pokazala je da algoritmi umjetne inteligencije, analizirajući sliku krvnih žila mrežnice, mogu procijeniti desetogodišnji rizik za srčani ili moždani udar sličnom točnošću kao i WHO karta rizika, standardni dijagnostički alat kojega se koristi u procjeni vjerojatnosti obolijevanja od kardiovaskularnih incidenata.
WHO karta kardiovaskularnog rizika (ili WHO CVD risk chart) se koristi za procjenu rizika da će neka osoba u sljedećih 10 godina doživjeti ozbiljan kardiovaskularni događaj, poput srčanog ili moždanog udara. WHO karta koristi neinvazivne i lako dostupne podatke, i dolazi u dvije varijante – non-lab model (bez krvnih pretraga) u kojem se rizik procjenjuje na temelju dobi, spola, krvnog tlaka, pušačkog statusa i indeksa tjelesne mase (BMI) i lab-based model, koji uz navedene parametre koristi i podatak o vrijednosti ukupnoh kolestrola u krvi.

Rezultati su australskog istraživanja su validirani na više od 27.000 zapisa iz UK Biobank baze, a pacijenti i liječnici opće prakse u studiji pokazali su iznimno visoko zadovoljstvo brzinom, jednostavnošću i primjenjivošću tehnologije, posebice onih dijelova koje je umjesto liječnika uspješno odradila AI, umjetna inteligencija.
Zaključak: oči su ogledalo duše i zdravlja i zdravstvenog sustava
Ako se dokaže i potvrdi postojanje korelacije između navedenih očnih biomarkera i sistemskih bolesti, i ako se povrh toga pokaže da je te biomarkere moguće prepoznati i uspješno kvantificirati korištenjem jednostavnih, dostupnih i pouzdanih dijagnostičkih postupaka, aparature i računalne snage, možda bi se u nekoj utopijskoj budućnosti i naš HZZO dosjetio da bi financiranje mobilnih OCT uređaja, retinalnih kamera i algoritama bilo isplativije od (pre)kasne dijagnoze i (pre)skupog liječenja posljedica kardiovaskularnih i moždanih bolesti.
Neuroznanost i kardiologija sve više postaju precizna igra rane potrage za finim, sitnim znakovima i biomarkerima koji mogu ukazati na diskretne, početne faze bolesti, a sve manje stvar čekanja da se „nešto pokaže na CT i MR slici“ ili na EKG-u. Ovakvi projekti poput opisanog „gledanja u zdravlje kroz zjenicu oka“ su više od pokazivanja snage, moći i mogućnosti sofisticiranih tehnoloških inovacija – oni su i podsjetnici da medicina može biti i pametna i brza i humana, a ne samo skupa.
. . .

Igor „Doc“ Berecki je pedijatar-intenzivist na Odjelu intenzivnog liječenja djece Klinike za pedijatriju KBC Osijek. Pobornik teorijske i praktične primjene medicine i znanosti temeljene na dokazima, opušta se upitno ne-stresnim aktivnostima: od pisanja znanstveno-popularnih tekstova u tiskanom i online-izdanju časopisâ BUG, crtkanja računalnih i old-school grafika i dizajna, zbrinjavanja pasa i mačaka, fejsbučkog blogiranja o životnim neistinama i medicinskim istinama, sve do kuhanja upitno probavljivih craft-piva i sasvim probavljivih jela, te neprobavljivog sviranja bluesa.