Oprezni optimizam
Sprej za nos protiv COVID-19 infekcije?
Stari antihistaminik u novoj ulozi – sprej za nos koji bi mogao smanjiti rizik od infekcije COVID-om i prehladom... ali uz ozbiljne rezerve i potrebu za većim studijama
Stari antihistaminik u novoj ulozi – sprej za nos koji bi mogao smanjiti rizik od infekcije COVID-om i prehladom... ali uz ozbiljne rezerve i potrebu za većim studijama
Pandemija COVID 19 očito ne zna priznati poraz i mirno se oprostiti od epidemiološke i medijske pozornosti: svako malo čitamo kako se pojavljuju nove varijante virusa
Nobelova nagrada za fiziologiju ili medicinu 2023. dodijeljena je Katalin Karikó i Drewu Weissmanu za njihova otkrića u vezi s modifikacijama nukleotidnih baza u mRNK
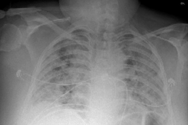
U analizi podataka o pacijenatima s teškom upalom pluća i respiratornim zatajenjem korišten je pristup strojnog učenja zvan CarpeDiem koji bolesne grupira na temelju elektroničkog zdravstvenog kartona
Foxconn Technology Group nameće ograničenja tvornici za sklapanje iPhonea u kineskom gradu Zhengzhou u pokušaju kontroliranja širenja nove epidemije koja bi ugrozila proizvodnju iPhonea
Kalendar i smjernice za cijepljenje protiv COVID-19 bi u skorašnjoj budućnosti mogli postati identični načinu na koji se sada provode smjernice za cijepljenje protiv gripe
Efikasnost australske aplikacije temelji se na usporedbi izgovaranja glasova A, O i M, što je slično hinduističkom meditacijskom pjevanju
Fino podešeni algoritmi umjetne inteligencije mogu postići visoku preciznost u otkrivanju zaraze. Besplatni su, omogućuju testiranje na daljinu, a obrada traje manje od minute
Gubitak sposobnosti da se oba oka adekvatno koriste za stvaranje vizualne slike, nekorigirana pogreška refrakcije, suhe oči i naprezanje samo su neke od posljedica pretjeranog korištenja ekrana
Izgradnja kvantnog računalnog čipa atom po atom i modeliranje odgovora neuromorfnih uređaja samo su neka znanstvena dostignuća ovog tjedna
Preuređenjem dva dodatna paviljona veliki laboratorij za dijagnostiku bolesti COVID-19 Lifebrain proširio je svoje kapacitete za PCR testove u Beču te je spreman za analizu povećanog broja testova
U skladu s ranijom odlukom Zavoda za zdravstvo savezne države New York, medicinsko osoblje koje do 27. rujna nije primilo barem jednu dozu cjepiva protiv covida-19 dobilo je otkaze
Mrežni alat oslanja se na najnovije podatke kako bi što preciznije izračunao koliki je rizik da 'pokupite' virus u brojnim konkretnim scenarijima
Nova studija pokazuje da će većina ljudi doživjeti neku ekstremnu pandemiju poput Covida-19. Istraživači su izračunali i statističku vjerojatnost izbijanja pandemije sposobne zbrisati sve ljude s lica Zemlje
Nova studija Sveučilišta Waterloo naglašava potrebu široke uporabe boljih maski i važnost dobre ventilacije za ublažavanje širenja Covida-19 u zatvorenim prostorima
Početkom sljedeće godine Las Vegas će ponovno postati središte svijeta potrošačke elektronike, a za ulaz na prvi fizički CES nakon pauze zbog pandemije trebat će imati potvrdu o cijepljenju
Od ovoga petka nove EU digitalne COVID potvrde sadržavaju nešto više informacija, u skladu s tehničkom specifikacijom koju je donijela Europska komisija
Domaća aplikacija za provjeru EU digitalnih Covid potvrda dobila je novu funkcionalnost, koju su tražili mnogi – pohranu vlastite potvrde u digitalnom formatu na mobitel
Znanstvenici se već pripremaju za moguću sljedeću pandemiju koronavirusa koja bi se, ako se držimo sedmogodišnjeg obrasca od 2004. godine, mogla izbiti već 2028.
Mnoštvo studija sugerira da miješanje cjepiva protiv Codiva-19 izaziva snažne imunološke reakcije, ali znanstvenici traže odgovore na pitanje kolika je njihova učinkovitost i treba li strahovati od nuspojava
Početkom srpnja EU digitalne Covid potvrde postaju bitan dokument za sve koji se žele vratiti "normalnom" životu, a domaća aplikacija za njihovu provjeru dostupna je na glavnim mobilnim platformama
Hrvatska mobilna aplikacija CovidGO potpuno je besplatna, a služi svima koji žele ili moraju provjeriti valjanost nečije, ili svoje, EU digitalne COVID potvrde
Apple je u suradnji sa sveučilištem Washington i organizacijom Seattle Flu Study pokrenuo istraživanje koje ima zadatak provjeriti mogu li pametni satovi rano otkriti respiratorne bolesti poput COVIDa-19
Virusi se mogu obuzdati ako barem 60% populacije poštuje mjere, pokazalo je istraživanje stručnjaka s njujorškog sveučilišta i torinske Politehnike
Na stranicama Ministarstva zdravlja, u sekciji pitanja i odgovora, našao se bizaran odgovor na pitanje koje je, očigledno, potaknuto brojnim teorijama zavjere o cjepivima protiv Covida-19
U Kaliforniji se nalaze tvrtkini glavni uredi i više od 50 Appleovih trgovina, a država je objavila da će osobe od 16 godina ispunjavati uvjete za cijepljenje
Osobe koje su dobile negativan PCR ili antigenski test ili su se cijepile protiv COVIDa-19, mogu zatražiti potvrdu o tome u obliku digitalne putovnice zapisane na distribuiranom blockchainu
Pristranost, metodološki nedostaci i "frankenštajnski skupovi podataka" glavni su krivci što se nijedan znanstveni model strojnog učenja o Covidu-19 ne može iskoristiti u dijagnostici bolesti
Za sudjelovanje u projektu samostalnog testiranja, koji je pokrenut krajem siječnja 2021., dosad se prijavilo 1.600 bečkih poduzeća s više od 120.000 djelatnika
Ovaj mjesec napravili smo još jedan iskorak i prvi put popularno-znanstvenu temu promovirali u temu broja. Ako vam baš nije jasno kakva nam se cjepiva protiv covida-19 nude, kako su nastala i ono najvažnije - kako funkcioniraju, potražit odgovore u novom Bugu
U većini zemalja cyber-hackeri su kriminalci s one strane zakona, no neke zemlje imaju vlastite „državne“ cyber-kriminalce koji po svjetskim serverima za domovinu i voljene vođe prikupljaju informacije i - novac
Chatbot za komunikaciju s građanima na WhatsAppu tijekom pandemije koronavirusa proglašen najboljim rješenjem u kategoriji COVID-19 Mobile Response
Inženjeri sa Sveučilišta Missouri namjeravaju pokrenuti masovnu proizvodnju bioelektronskih uređaja koji se nose poput flastera i u realnom vremenu mjere vitalne znakove
Godišnja pretplata
11 brojeva
U vašim rukama prije nego na kioscima!
Godišnja pretplata
11 brojeva
Najkvalitetniji sadržaj za IT profesionalce
Dvogodišnja pretplata
22 broja
Najveća ušteda! Samo 2,70 € po svakom broju
Dvogodišnja pretplata
22 broja
Najveća ušteda! Samo 2,40 € po svakom broju
Posljednji nastavak rado čitane i još radije komentirane trilogije o načinu proizvodnje i mehanizmima djelovanja prvog anti-SARS-CoV-2 cjepiva, kao i ostalih dostupnih i budućih cjepiva za prevenciju oboljenja od Covid-19
Prvi dio naše "cijepne trilogije", koji je bio vrlo čitan i potaknuo živahne rasprave na društvenim mrežama i Bugovom forumu, dobija svoj jednako uzbudljiv nastavak
"Doc, daj već više napiši nešto o tom cjepivu!" - ne jednom se tijekom zadnjih mjesec dana podigao vapaj iz nepregledne mase vjerne publike portala Bug.hr. "Zašto ne?" - reče Doc, te krene zadovoljavati svoje čitatelje